Enfermedad
de Kienböck

La enfermedad de Kienböck es una patología de la muñeca que afecta al hueso semilunar, uno de los huesos del carpo. Esta patología se produce por una alteración de su riego sanguíneo, lo que puede dar lugar a una necrosis avascular u osteonecrosis.

Como consecuencia, el semilunar puede debilitarse, endurecerse, fragmentarse o colapsarse con el tiempo, alterando la mecánica de la muñeca y provocando dolor, rigidez y pérdida de fuerza.

Se desconoce la causa exacta de la enfermedad de Kienböck. Se considera una enfermedad multifactorial, en la que pueden intervenir factores mecánicos, anatómicos, traumáticos y vasculares. Su evolución no es igual en todos los pacientes, por lo que el diagnóstico precoz y la correcta valoración del estadio son fundamentales para decidir el tratamiento más adecuado en cada caso.

En esta página te explicamos qué es la enfermedad de Kienböck, cuáles pueden ser sus causas, qué síntomas produce, cómo se diagnostica y qué tratamientos pueden plantearse según su estadio y evolución.

¿Qué es la enfermedad de Kienböck?

La enfermedad de Kienböck es una osteonecrosis del semilunar, un hueso central de la muñeca que participa de forma importante en la transmisión de cargas y en el movimiento coordinado del carpo.

Cuando el semilunar pierde parte de su vascularización, su estructura ósea se deteriora progresivamente. En las fases iniciales puede generar síntomas poco específicos, pero a medida que avanza puede producir dolor persistente, limitación funcional, colapso del hueso y cambios degenerativos en la muñeca.

No todos los pacientes evolucionan de la misma manera ni todos los casos requieren el mismo tratamiento. Por eso, la valoración debe individualizarse teniendo en cuenta el estadio, la clínica y la demanda funcional del paciente.

Enfermedad de Kienbock 3
Enfermedad de Kienbock 1

Figura 1: zonas del dorso de la mano
(clasificación de Kleinert y Verdan)

¿Cuáles son las causas de la enfermedad de Kienböck?

La causa exacta de la enfermedad de Kienböck sigue sin conocerse con certeza. Lo más aceptado es que no exista un único desencadenante, sino la combinación de varios factores predisponentes.

Enfermedad de Kienbock 4

Factores traumáticos

En muchos pacientes existen antecedentes de traumatismo en la muñeca, fracturas o microtraumatismos repetidos.
Sin embargo, no siempre está claro si ese antecedente actúa como causa directa o como un factor que favorece la aparición de la enfermedad.

Factores vasculares

El semilunar puede presentar un aporte sanguíneo más precario que otros huesos del carpo. En algunos pacientes, esta vascularización limitada podría facilitar la aparición de necrosis o dificultar la recuperación del hueso.

Factores mecánicos y anatómicos

Algunas variantes anatómicas pueden influir en la distribución de las cargas sobre el semilunar. Entre ellas, se ha descrito con frecuencia la asociación con el cúbito minus o cúbito corto, así como con determinadas formas anatómicas del semilunar.

Factores individuales

También se han descrito otros posibles factores predisponentes, incluidos determinados rasgos individuales o genéticos, aunque su papel es menos constante y no explica todos los casos.

Enfermedad de Kienbock 6

Ganglión intraóseo del semilunar

Síntomas de la enfermedad de Kienböck

Los síntomas de la enfermedad de Kienböck suelen aparecer de forma progresiva. En las fases iniciales pueden ser poco específicos, lo que a veces retrasa el diagnóstico.

El síntoma más frecuente es el dolor en el centro o en el dorso de la muñeca, especialmente con la carga, el apoyo de la mano o determinados movimientos.

Los pacientes con enfermedad de Kienböck pueden presentar:

🔹 dolor en la parte central o dorsal de la muñeca
🔹 disminución de la movilidad
🔹 tumefacción o
🔹 inflamación en el dorso de la muñeca
🔹 pérdida de fuerza de agarre
🔹 pérdida de masa muscular en el antebrazo
🔹 en casos evolucionados
molestias al cargar peso o apoyar la mano

En algunos casos también pueden aparecer síntomas asociados, como hormigueos en los dedos, especialmente si existe irritación o compresión secundaria en la muñeca.

Enfermedad de Kienbock 7

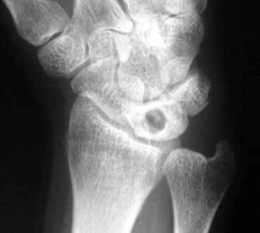
Estadio II de la enfermedad de Kienböck

Enfermedad-de-Kienböck-8
Enfermedad de Kienbock 9

Diagnóstico de la enfermedad de Kienböck

El diagnóstico de la enfermedad de Kienböck se basa en la historia clínica, la exploración física y las pruebas de imagen.

El objetivo no es solo confirmar la afectación del semilunar, sino también determinar el estadio de la enfermedad y valorar si existen alteraciones estructurales en el resto del carpo.

Radiografía simple.
La radiografía puede mostrar cambios en la densidad del semilunar, esclerosis, pérdida de altura, colapso o signos degenerativos en fases más avanzadas. También puede ayudar a identificar variantes anatómicas asociadas, como el cúbito corto.

Resonancia magnética.
La resonancia magnética es especialmente útil para el diagnóstico precoz, ya que permite detectar alteraciones del semilunar cuando la radiografía aún puede ser normal. Por ello, es una de las pruebas más valiosas en las fases iniciales.

TAC
La tomografía computarizada puede ser útil para valorar con más precisión la estructura ósea, el grado de colapso, la fragmentación del semilunar y el estado del carpo, lo que ayuda a afinar el estadiaje y la planificación quirúrgica cuando es necesaria.

Todas las patologías asociadas a la mano traumatática

Diagnóstico diferencial

La enfermedad de Kienböck debe diferenciarse de otros procesos que pueden producir síntomas o hallazgos radiológicos parecidos. Entre ellos se encuentran:

ganglión intraóseo del semilunar
isquemia transitoria del semilunar
enfermedades inflamatorias de la muñeca
osteocondritis disecante del semilunar
síndrome de impactación cúbito-carpiana
fractura del semilunar

Realizar correctamente este diagnóstico diferencial es importante para evitar errores diagnósticos y plantear el tratamiento más adecuado.

Imagen genérica representando el dolor causado por la enfermedad de Kienböck

Clasificación de la enfermedad de Kienböck

La clasificación más utilizada es la clasificación de Lichtman, que divide la enfermedad en distintos estadios clínico-radiológicos y orienta el tratamiento.

Estadio I
La radiografía puede ser normal, pero la resonancia ya muestra alteraciones relacionadas con la falta de riego sanguíneo del semilunar.

Estadio II
Aparece esclerosis radiológica del semilunar, aunque su forma todavía se conserva.

Estadio III
El semilunar empieza a colapsarse y se distinguen dos subtipos.

Estadio IIIA
Existe colapso del semilunar, pero se mantiene mejor la arquitectura general del carpo.

Estadio IIIB
Además del colapso, aparece alteración de la alineación carpiana, como rotación fija del escafoides o colapso del carpo.

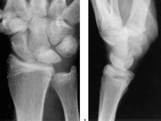
Estadio IV
Existe una afectación avanzada, con destrucción del semilunar y cambios degenerativos artrósicos en la muñeca.

Etapas de evolución

De forma simplificada, la enfermedad puede evolucionar en varias fases:

  1. Alteración temprana del flujo sanguíneo del semilunar sin cambios visibles en radiografías.
  2. Endurecimiento o esclerosis del semilunar.
  3. Colapso del semilunar con alteración progresiva de la mecánica de la muñeca.
  4. Daño avanzado con artrosis radio y mediocarpiana.

 

Esta progresión no siempre ocurre al mismo ritmo en todos los pacientes.

Tratamiento de la enfermedad de Kienböck

El tratamiento de la enfermedad de Kienböck tiene como objetivos aliviar el dolor, preservar la función de la muñeca y limitar la progresión del colapso carpiano.

La elección del tratamiento depende del estadio radiológico, de la demanda funcional del paciente, del grado de afectación estructural y de la evolución clínica.

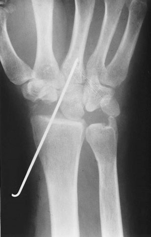
Técnicas de descompresión

Las técnicas de descompresión buscan disminuir la sobrecarga que soporta el semilunar. En pacientes seleccionados pueden plantearse osteotomías del radio o de otros huesos del carpo para redistribuir las cargas.

Técnicas de revascularización

En algunos estadios iniciales o intermedios pueden valorarse técnicas de revascularización mediante injertos o colgajos vascularizados, con el objetivo de mejorar el aporte sanguíneo al semilunar. Estas opciones suelen reservarse para casos seleccionados y no se indican habitualmente en estadios avanzados.

Tratamiento quirúrgico según el estadio

De forma general:

en los estadios I, II y IIIA pueden considerarse medidas de descompresión y técnicas de preservación o revascularización
en el estadio IIIB suelen valorarse técnicas de descompresión o procedimientos paliativos
en el estadio IV predominan las opciones paliativas o de rescate

La indicación exacta debe adaptarse a la anatomía, la edad, la actividad y el estado articular de cada paciente.

Descubre cómo nuestros especialistas en traumatología y cirugía de la mano pueden ayudarte en el diagnóstico y tratamiento del dolor de muñeca.

La mano traumática es una condición que engloba lesiones agudas o crónicas sufridas en la mano como resultado de un evento traumático. Puede variar desde heridas superficiales hasta fracturas complejas o amputaciones parciales

Medidas paliativas en estadios avanzados

Cuando la enfermedad está muy evolucionada y ya existe colapso avanzado o artrosis, pueden ser necesarias técnicas paliativas orientadas principalmente a controlar el dolor y preservar la mejor función posible.

Carpectomía proximal.
La carpectomía proximal consiste en resecar la primera hilera del carpo. Es una opción en pacientes seleccionados y requiere un buen estado de determinadas superficies articulares para ofrecer resultados funcionales razonables.

Artrodesis parcial.
La artrodesis parcial fusiona algunos huesos de la muñeca para mejorar la estabilidad y reducir el dolor, intentando conservar parte del movimiento.

Artrodesis total de muñeca.
La artrodesis total fusiona el radio con el carpo. Su principal ventaja es el control del dolor y la mejora de la estabilidad, pero supone la pérdida de la flexión y extensión de la muñeca. Suele reservarse para estadios avanzados o situaciones de gran deterioro funcional.

Denervación de muñeca.
La denervación de muñeca es una técnica paliativa dirigida a disminuir el dolor en pacientes seleccionados, sola o asociada a otros procedimientos.

El papel de la artroscopia

La artroscopia de muñeca puede ser útil como apoyo en el diagnóstico y en el estadiaje, ya que permite valorar de forma directa las superficies articulares.

Además, en determinados casos puede tener un papel terapéutico, por ejemplo mediante desbridamiento de tejidos alterados o como complemento de otros procedimientos.

 

Enfermedad de Kienböck

Postoperatorio de la enfermedad de Kienböck

El postoperatorio depende del tipo de cirugía realizada. En muchas de las técnicas empleadas es necesario un periodo inicial de inmovilización con férula, seguido de rehabilitación progresiva para recuperar la función.

Aspectos clave del postoperatorio.


→ seguimiento médico periódico
→  rehabilitación pautada
evitar sobrecargas y movimientos bruscos
→  vigilar signos de complicación, como dolor inusual, rigidez excesiva o problemas en la herida
→  adaptar la reincorporación a la actividad según la evolución individual

La recuperación no es igual en todos los pacientes y depende del estadio, de la técnica realizada y del estado previo de la muñeca.

Enfermedad de Kienbock 13
Enfermedad de Kienbock 14

¿Cuándo conviene consultar a un especialista?

Conviene consultar a un especialista cuando existe dolor persistente de muñeca, especialmente si se localiza en la zona central o dorsal, si se acompaña de pérdida de movilidad, disminución de fuerza o si no mejora con medidas simples.

La valoración especializada es especialmente importante cuando los síntomas persisten tras un traumatismo o cuando existe sospecha de una patología estructural del carpo.

Todas las patologías asociadas a la mano traumatática

FAQ's Preguntas frecuentes
sobre la enfermedad de Kienböck

Pregúntanos

Escríbenos e intentaremos responderte y/o ayudarte a la mayor brevedad posible.

¿La enfermedad de Kienböck puede confundirse con una tendinitis o un esguince de muñeca?

Sí. En fases iniciales puede provocar un dolor poco específico en la muñeca, por lo que a veces se confunde con una tendinitis, una sobrecarga o una lesión ligamentaria. Cuando las molestias persisten o no mejoran como se esperaba, conviene completar el estudio con pruebas de imagen.

En la mayoría de los casos evoluciona de forma progresiva. El dolor puede comenzar de manera insidiosa y aumentar con el tiempo, aunque algunos pacientes relacionan el inicio de los síntomas con un traumatismo previo o con una sobrecarga mantenida.

Depende del estadio, del dolor y del tipo de actividad. En fases iniciales algunos pacientes pueden mantener parte de su actividad con limitaciones, pero cuando existe dolor con la carga o pérdida de fuerza suele ser necesario adaptar el esfuerzo para no empeorar los síntomas.

No siempre necesita cirugía, pero tampoco existe una solución única válida para todos los casos. En algunos pacientes el tratamiento conservador puede ayudar a controlar los síntomas y frenar la evolución, mientras que en otros es necesario plantear tratamiento quirúrgico según el estadio y la afectación de la muñeca.

Si progresa, puede provocar colapso del semilunar, pérdida de movilidad, disminución de fuerza, dolor persistente y artrosis de muñeca. Por eso es importante realizar un diagnóstico correcto y valorar el estadio de la enfermedad.

No. La evolución puede ser muy variable. Algunos pacientes presentan una progresión lenta y síntomas moderados, mientras que otros desarrollan antes limitación funcional o cambios estructurales más importantes.

No siempre. El resultado depende del estadio de la enfermedad, del estado del semilunar, del daño articular existente y del tipo de tratamiento realizado. En muchos casos el objetivo principal es aliviar el dolor y preservar la mejor función posible, más que recuperar una normalidad absoluta.

top100 sin letras 200x119 1

🟦 Fuentes consultadas.

✔️ Kienböck’s Disease

✔️ Cleveland Clinic – Kienböck’s Disease: Symptoms, Causes and Treatment

✅ Artículo editorial de los especialistas:

Dr. Manuel Villanueva — Colegiado nº 41299 – Traumatología, Cirugía ortopédica de cadera y rodilla y Cirugía Ecoguiada Mínimamente Invasiva

Dr. Dr. Homid Fahandezh-Saddi —Traumatología y Cirugía de Mano